DR NICOLAS COCCO
ESTHÉTIQUE ET IMPLANTOLOGIE
RDV en ligne
RDV en ligne
RDV
+33 3 88 93 78 00
16 rue Neuve à Haguenau 67500

Chirurgie

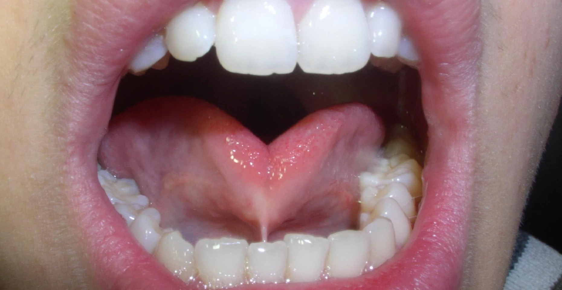
La chirurgie dentaire au cabinet du Dr Nicolas Cocco à Haguenau inclut des soins comme la gingivectomie, qui consiste à retirer une petite partie des gencives, le sinus lift, une procédure qui permet de préparer l’os pour la pose d’implants dentaires, ainsi que l’extraction implantation immédiate, où l’implant est placé juste après l’extraction d’une dent. Nous réalisons également des frénectomies, qui consistent à couper le petit ligament qui relie la lèvre ou la langue à la gencive. Ces interventions visent à améliorer votre confort et à assurer un résultat durable.

 

Parcours de prise en charge

Phase 1

Première consultation avec le patient :
Réalisation d’un examen bucco-dentaire approfondi. Le Docteur Cocco évalue le traitement le mieux adapté et la faisabilité pour un futur implant ou chirurgie.

Phase 2

Planification du traitement personnalisé avec le patient et préparation pré-chirurgicale :
En tant que chirurgien-dentiste, le Dr Cocco sait rassurer son patient. Le cabinet est équipé des meilleures technologies pour l’implantologie et la chirurgie.

Phase 3

Pose de l’implant ou réalisation de la chirurgie
Selon le type de soin recommandé par le chirurgien-dentiste, la pose s’effectue en plusieurs étapes pour permettre la cicatrisation des tissus ou de l’os.

Phase 4

Cicatrisation et suivi régulier :
Quelques mois sont nécessaires pour que le processus de cicatrisation soit optimal. Un suivi régulier sera réalisé par le Dr Cocco.

Phase 5

Pose de la couronne ou autre forme de restauration dentaire et suivi post-opératoire.